攜生醫療真人案例
攜生醫療服務會說話,為每位客戶量身定制性價比最高服務,客戶真實案例
-

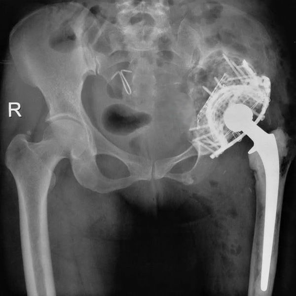
手術后手術前
髖關節翻修
患者蘇某,女性,11年前因“左髖關節屈曲攣縮畸形”行左側人工全髖關節置換,近來感覺左髖關節疼痛,不敢行走,經“攜生醫療平臺”就診于哈......
在線咨詢+更多詳情+
-

手術后手術前
骨肉瘤手術
患者張某,女,14歲,診斷為“左股骨遠端骨肉瘤”,當地醫院因為醫療技術和能力的限制,只能考慮截肢手術。患者家屬通過平臺推薦,指定到哈......
在線咨詢+更多詳情+
-

手術后手術前
右側肱骨頭置換
患者郭某,男,40歲,因嚴重車禍導致“右肱骨頭粉碎性骨折”,一般的手術很難將粉碎的骨折塊拼接起來,即便大致的拼接起來,因為骨面的不平......
在線咨詢+更多詳情+
-

手術后手術前
先天性髖關節脫位
患者王某某,女,41歲,從會走路以來就發現一條腿長,一條腿短,也就是人們俗稱的“跛子”,之前雖然兩條腿長短不一,但起碼還可以走路,維......
在線咨詢+更多詳情+
-

手術后手術前
右側全髖關節置換
患者姜某某,女50歲,診斷為“股骨頭壞死”,右側髖關節疼痛到不能生活自理。經平臺推薦到哈爾濱醫科大學附屬第二醫院骨關節科就診,患者想......
在線咨詢+更多詳情+
-

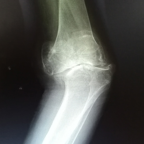
手術后手術前
膝關節內翻
患者劉某某,女66歲,左側膝關節嚴重內翻(俗稱的“羅圈腿”),疼痛到不能生活自理。經平臺推薦到哈爾濱醫科大學附屬第二醫院骨關節科就診,......
在線咨詢+更多詳情+